Zahnersatz Der Ersatz fehlender Zähne soll nicht nur Zahnlücken schließen, um ästhetisch anspruchsvollen Patient/Innen ein natürliches und schönes Aussehen zurückzugeben. Mit der Rekonstruktion von Zahnlücken werden weitere Destruktionen des Kausystems durch kaufunktionelle Überbelastung einzelner Zähne, Zahnwanderungen und -kippungen vermieden. Die Art und Form des Zahnersatzes richtet sich nach Größe und Lage der Zahnlücken, Stellung und Zustand der Restzähne, den Kauverhältnissen, dem funktionellen muskulären Gleichgewicht der Kaumuskulatur und individuellen Ansprüchen, Vorstellungen und Voraussetzungen der Patienten.
Brücken Zahnbegrenzte Lücken können bei ausreichender Festigkeit der Nachbarzähne mit Brücken versorgt werden. Dazu werden die Nachbarzähne so vorbereitet (beschliffen), dass sie die Brückenkonstruktion aufnehmen können; sie stellen dann die Brückenpfeiler dar.
Festsitzender Zahnersatz Kronen Um frühzeitigen Verlust geschädigter und großflächig gefüllter Zähne zu verhindern, können die betroffenen Zähne mit Kronen versorgt werden. Jede Krone wird in unserem eigenen Zahntechnischen Labor individuell für Sie angefertigt. Kronen können aus Keramik, Metall oder einer Kombination beider Materialien hergestellt werden.
Hausnehmbarer Zahnersatz Für den hausnehmbaren Zahnersatz gibt es verschiedene Möglichkeiten. Soweit noch eigene Zähne vorhanden sind, kann der Zahnersatz durch Klammern, Teleskopkronen oder Keramikkronen mit Geschieben verankert werden. Der Zahnersatz wird in mehreren Schritten angefertigt und anprobiert. Bei schwierigen Situationen kommt der Zahntechniker mit dazu.
(zum Vergrößern Bilder anklicken)
(zum Vergrößern Bilder anklicken)
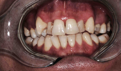
Oberkiefer-Frontzähne (Zähne12-22) Keramikverblendkronen Situation vorher Situation nachher
Brücke rechts oben, ab mittlerem Schneidezahn (Zähne 14 -11) Situation vorher Situation nachher